Neuroscience Research

Our multidisciplinary approach spans a range of research areas and supports shared resources for neuroscience researchers across campus.

 Core Research Areas

 Centers & Institutes

An interdisciplinary research unit that manages personnel, grants, purchasing, and facilities for neuroscience labs.
A campus-wide initiative to foster collaboration and recruit top neuroscientists to UCSB.
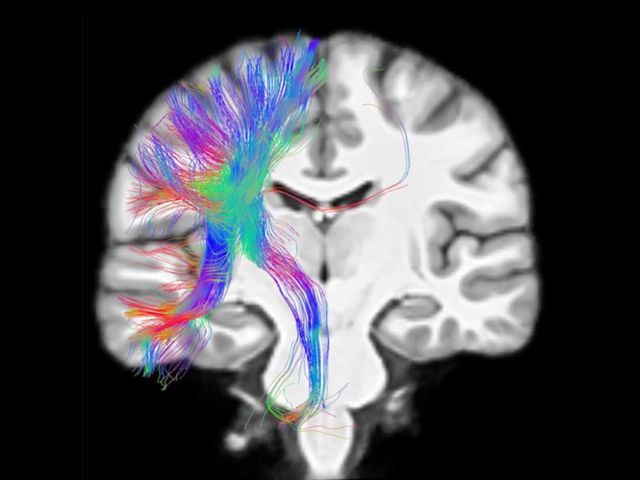
A core research facility dedicated to understanding the structure, function, and dynamic properties of the human brain.
Provides state-of-the-art instruments, support staff, education, and training for research microscopy.
A research center devoted to understanding the interplay of computer-generated virtual environments and human behavior.
An interdisciplinary center for stem cell research and training in the emerging field of regenerative medicine.
A joint cross-disciplinary effort by UC Santa Barbara academics to understand the capabilities of the human mind and artificial intelligence.